多颗牙缺失不能忽视,它不仅严重影响了牙齿的咀嚼功能,长期以往还会影响身体健康,我国九成以上的老年人都有不同程度的牙齿缺失,仅有1/3的老年人进行了缺失牙齿的修复治疗。多颗牙缺失该如何修复呢?修复的种类很多,比如有活动假牙,固定假牙、种植牙等。每一种的治疗周期、治疗费用又不尽相同。我们来听听穗华口腔专家的介绍。
通常情况下,牙齿缺失后是必须进行修复治疗,很有必要镶假牙。假牙也叫义齿,牙齿缺失后,镶假牙应该根据患者的口腔牙列缺失情况、剩余牙齿的健康情况、牙槽骨的情况和患者本人的要求、经济能力来选择,不能一概而论。

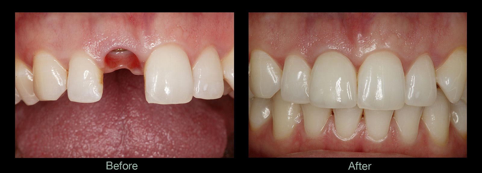
义齿镶装前后对比
义齿的种类和类型:
全口义齿:全口假牙是满口全部真牙缺失后使用的一种修复方法,真牙全部缺失,假牙没有金属卡环,完全依靠口腔黏膜来进行固位,稳定性方面相对比较差一些,跟部分活动义齿相比,全口义齿的异物感更加明显,咀嚼功能更差一些。
活动义齿:利用剩余天然牙或粘膜作为支持,依靠金属或弹性纤维的卡环,固定在口腔内剩余的天然邻近牙或其他相关的牙齿上,利用基托使义齿保持适当的位置行使咀嚼功能,一般有一个较大的基托,依靠卡环和基托,将整个义齿稳定地安放在缺失部位。
它的优点是适应范围较广、能自由取戴,有利于口腔清洁卫生,不需过多磨除邻近的牙齿,对邻牙无明显损伤,应用范围广泛。缺点是体积一般较大,有异物感,有时会影响发音,有金属卡环外露,影响美观,初戴时还会感觉不舒服,需要一段时间适应才能习惯,这种类型的假牙一般不能承受较大的咬合压力,咀嚼功能稍稍差一些。
固定义齿:包括桩冠和烤瓷牙桥体,没有卡环和基托,利用根尖情况良好的牙根或缺失部位两端的冠套固位,直接黏固已经根管治疗的牙根上或缺失端两侧邻近的健康牙齿上,固定义齿是不能自由取摘。
穗华口腔医院是您爱牙的放心之选
穗华口腔医院是拥有百年人文底蕴的暨南大学附属口腔医院临床教学医院,是广东省卫生厅批准成立的口腔专科医院,是集口腔诊疗、教学和科研为一体的现代化口腔综合医院,是您看牙的放心信赖之选!如果您还有其他疑问或需要帮助,还可以点击在线咨询,或者拔打免费热线:020—62266666。百度100遍,不如咨询1次。