种植牙具有其他牙齿修复方式不可媲美的优势,已经能替代真牙行使牙齿咀嚼功能,选择种植牙修复牙齿缺失,选好种植牙医院是重中之重了,那么广州哪家种植牙医院好?下文给大家介绍一下。

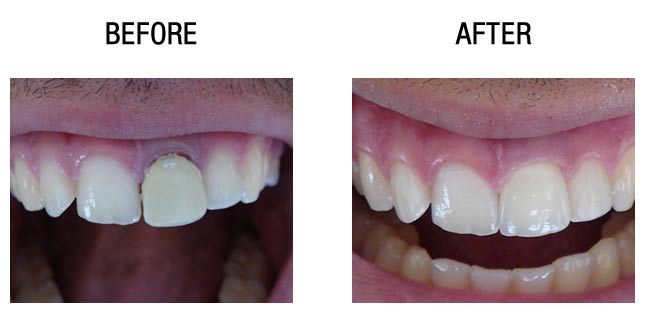
种植牙前后对比
暨南大学附属医院穗华口腔是拥有百年人文底蕴的暨南大学临床教学医院,拥有华南乃至大中华区一流的专家队伍,齐聚20余位教授副教授级专家、50余位留学德国、美国、英国、加拿大等国际口腔医学博士硕士,并与国内外100余位权威专家建立学术探讨、科研合作、联合会诊的深度合作;同时重金引进美国A-dec爱迪牙科综合治疗台、意大利NewTom锥形束CBCT、德国迪尔Duerr数字影像系统、瑞士彼岸Chiropro西诺普光纤种植机、德国Vector微创牙周治疗仪、美国Ambulanc笑气镇静镇痛系统、韩国Dmetec超声骨刀、丹麦3shape牙齿正畸系统等尖端设备共200余台。在颅颌面外科、口腔种植、美容修复、牙齿正畸、口腔黏膜、牙周治疗、牙体牙髓等13个专业科室,以专研专治、个性诊疗、风险预控为核心理念,积累了国内的临床特色和技术优势。
暨南大学附属医院穗华口腔以公立三甲口腔医院标准,以国际JCI标准认证要求作为规划理念,选用国际标准环保材料,科学设计诊疗私密空间,以人性化服务体系细节设计,打造七星级专业服务标准的口腔诊疗机构龙头;导入国际先进的以患者体验为中心的9大信息管理系统,创建了强大的数字化口腔诊疗服务综合平台,成为国内数字云管理的综合口腔医院。
穗华口腔是您爱牙的放心之选
穗华口腔医院是拥有百年人文底蕴的暨南大学附属口腔医院临床教学医院,是广东省卫生厅批准成立的一家口腔专科医院,是集口腔诊疗、教学和科研为一体的现代化口腔综合医院,承诺永远以顾客的牙齿健康为必要因素,确保给顾客高性价比的口腔治疗,如果您还有什么问题或需要帮助,可在线咨询或拨打热线:020-62266666,将您的问题告诉在线医生,专家不仅能耐心为您分析解答,还能提供预约挂号的服务,让你就诊更方便快捷,“百度100遍,不如咨询一次”。