牙齿矫正期间要特别注意牙齿清洁,这是牙齿矫正专家特别嘱咐的事情,那么箍亚期间可以喝碳酸饮料吗?下文请听穗华口腔专家的介绍。

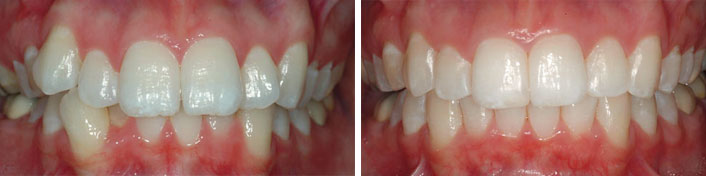
牙齿矫正前后对比
穗华口腔专家介绍:不管是儿童亦或是成年人,在佩戴矫正器矫治牙齿时,都应该少喝碳酸饮料。含粘性糖份(可分解成酸)的软饮料很容易附着在牙齿的表面,尤其是附着在戴着矫正器的牙齿上。为了使矫正器的托槽或带环牢牢地粘接在牙齿上,会对牙齿表面进行酸蚀以去除牙齿的外层保护釉质。这样,会使牙齿极易受酸侵蚀。酸会软化牙质,促进牙菌斑的形成,使牙釉质进一步受侵蚀,从而导致蛀牙、牙齿脱钙。
穗华口腔提醒:任何一种含糖的食物或饮料,对牙齿都是有害的。尤其是接受正牙治疗的患者更需要格外小心。因为,他们的牙齿更容易因食用甜食而被龋蚀。如需了解更多牙齿矫正的问题,敬请点击在线咨询,穗华口腔专家竭诚为您服务。
穗华口腔是您爱牙的放心之选
穗华口腔医院是拥有百年人文底蕴的暨南大学附属口腔医院临床教学医院,是广东省卫生厅批准成立的口腔专科医院,是集口腔诊疗、教学和科研为一体的现代化口腔综合医院,承诺永远以顾客的牙齿健康为必要因素,确保给顾客高性价比的口腔治疗,如果您还有什么问题或需要帮助,可在线咨询或拨打热线:020-62266666,将您的问题告诉在线医生,专家不仅能耐心为您分析解答,还能提供预约挂号的服务,让你就诊更方便快捷,“百度100遍,不如咨询一次”。