地包天手术矫正价格是多少?
有疑问?点击咨询专家 全国免费咨询电话 020-6226 6666
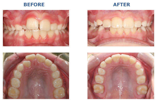
  地包天是一种对当事人来说却是非常大的苦恼,为了恢复自己的容貌,维持口腔健康,许多人选择了地包天矫正手术。那么地包天手术矫正价格是多少?下文请暨南大学穗华口腔医院专家为大家介绍一下。

推荐阅读》》》时代天使隐形矫正多少钱?
 
  穗华口腔专家介绍,地包天手牙齿矫正费用并不是固定不变的,而是受到以下众多因素的影响:
 
  一、顾客本身的牙齿情况
 
  顾客牙齿情况不同,所用的牙齿矫正技术不同,自然牙齿矫正价格也不同。具体情况需要由口腔专家检查并进行数字化术前仿真模拟设计后才能确定。
 
  二、医生的专业素质
 
  一个拥有丰富经验的正畸医师能尽大程度地确保地包天牙齿矫正的术后效果。一场成功的地包天牙齿矫正,有赖于临床医师专业的修复理论支撑,以及规范的操作和正确的设计。牙齿矫正是个相对长期的过程,所以,选择一个好的医师非常重要。
 
  3、医院的设备
 
  通常正规的专业口腔医院,无论是在硬件的投入,还是在软件的建设上都更为重视,而这往往体现在地包天牙齿矫正的效果和过程上。事实上,在地包天牙齿矫正的过程中,医院设备的作用不可轻视。而这也是正规医院地包天牙齿矫正费用较高,但往往矫正效果却更具保障的原因。
 
  穗华口腔专家提醒,地包天要尽早矫正,越早进行牙齿矫正则效果越好。而且越早进行牙齿矫正,地包天牙齿矫正费用就相对越少。儿童时期是地包天矫正的好时期,可以通过固定矫正器进行牙齿矫正。特别是在替牙期和恒牙早期(一般年龄在8—12岁),颌面部生长发育旺盛,此时若能得到及时矫正,可避免颌骨异常生长发育。而如果顾客没有得到及时矫正的话,成年后形成骨性反咬合,则可能要配合地包天牙齿矫正。
 
  穗华口腔是您爱牙的放心之选
 
  暨南大学穗华口腔医院是拥有的临床教学医院,是广东省卫生厅批准成立的首家口腔专科医院,是集口腔诊疗、教学和科研为一体的现代化口腔综合医院,组建了由多位博士生导师和国内外知名专家构成的专业口腔专家队伍,承诺永远以顾客的牙齿健康为必要因素,确保给顾客高性价比的口腔治疗。
 
  温馨提醒:牙齿矫正虽不是什么大手术,但是其要求专业性还是很强的,因此需要做牙齿矫正的人在选择医院方面一定要慎重,只有正规专业的口腔医疗机构才是可信的。如果您还有什么问题或需要帮助,可在线咨询或拨打热线:020-62266666,将您的问题告诉在线医生,专家不仅能耐心为您分析解答,还能提供预约挂号的服务,让你就诊更方便快捷,“百度100遍,不如咨询一次”。

穗华口腔专家团队

>>more

  • 赖仁发 主任医师

    暨南大学穗华口腔医院总院长
    暨南大学附属第一医院口腔医疗中心主任
    广东省医师协会口腔医师分会副主任委员

  • 冯智强 主任医师

    暨南大学穗华口腔医院种植技术院长
    广东省口腔医师协会理事
    广东省医学教育协会口腔种植学专业委员会委员

  • 鲍洪源 副主任医师

    原中国航空364医院口腔科主任
    德国口腔颌面外科协会(MKG)种植硕士
    暨南大学穗华口腔海珠中大院区院长

  • 熊小明 副主任医师

    暨南大学穗华口腔越秀院区院长
    中华口腔医学会会员
    全国口腔名家联盟成员
    广东省口腔种植学专业委员会委员
    德国(DGI)口腔种植协会会员
    美国口腔正畸学会(AAO)会员
    美国哥伦比亚大学口腔种植访问学者

  • 贺文鹏 副主任医师

    暨南大学穗华口腔天河院区正颌中心主任
    暨南大学穗华口腔天河院区资深种植专家
    暨南大学附属第一医院口腔外科主任
    暨南大学口腔医学院口外教研室副主任
    多家种植体品牌公司培训讲师
    德国口腔颌面外科协会-种植精英计划-种植硕士
    国家执业医师资深考官
    广州实力中青年医生
    暨南大学附属第一医院手术突出贡献奖获得者
    中华口腔医学会创伤与正颌专委会青年委员
    广东省医学会颌面头颈外科学分会青委副主任委员
    广东省医院协会口腔管理分会委员
    广东省临床医学学会牙种植专委会委员
    广东省口腔医学会口腔颌面外科专业委员会青年委员
    广东省整形美容协会口腔整形美容分会委员
    广东省粤港澳合作促进会医药卫生大健康委员会口腔健康联盟委员
    广东省医学教育协会口腔种植专业委员会委员
    广东省口腔医师协会理事

  • 赵清桐 副主任医师

    暨南大学穗华口腔海珠宝岗院区特聘专家
    广东省医院协会口腔医疗管理分会委员
    广东省医学教育协会口腔种植学专业委员会委员
    广东省口腔医学会老年口腔专委会委员
    国家执业医师资深考官

  • 刘敏义 主治医师

    暨南大学穗华口腔医院资深种植专家
    暨南大学穗华口腔医院资深修复专家
    中华口腔医学会会员
    美学修复专委会会员
    口腔修复专委会会员

  • 刘志昕 主治医师

    暨南大学穗华口腔天河院区种植技术院长
    穗华口腔5G+数字化精准种植技术组讲师
    国际种植牙医师学会(ICOI)会员
    北京大学口腔医学院进修医生
    上海交通大学附属第九人民医院种植科进修医生

  • 刘卫国 副主任医师

    暨南大学穗华口腔东圃院区医疗院长
    暨南大学穗华口腔医院资深种植专家
    中国大众文化学会口腔文化专委会常委
    中华口腔医学会会员
    中国医药卫生教育协会口腔医学分会委员
    ICOI国际种植学会会员
    广东省临床医学学会牙种植专委会委员
    广东省整形美容协会口腔整形美容分会委员
    湖北省口腔医学会种植专业委员会委员
    湖北民营口腔学会委员

  • 孔卫东 主任医师

    暨南大学穗华口腔医院集团正畸医疗总监
    eBrace个性化舌侧矫治器主要发明人
    中华口腔医学会口腔正畸专业委员会5、6、7届委员
    《中华口腔正畸学杂志》编委
    广东省口腔医学会口腔正畸专业委员会常委
    《暨南大学学报(医学版)》特邀编委
    美国口腔正畸学会(AAO)会员
    世界正畸联盟(WFO)会员
    广东省3D打印技术联盟理事会理事
    广东省整形美容协会理事会理事
    省部级企业科技特派员
    入选2020年度《岭南名医录》
    被评为2021年度“羊城好医生”

  • 肖世芳 副主任医师

    暨南大学穗华口腔荔湾院区院长
    中国共产党广州穗华口腔门诊部有限公司支部委员会书记
    暨南大学穗华口腔健康正畸讲师
    中华口腔医学会正畸专业委员会专科会员
    中国大众文化学会口腔文化专业委员会第一届委员会常务委员
    暨南大学口腔医学院研究生实践指导教师
    美国隐适美隐形矫治全球认证医师
    美国SPARK精靓隐形矫治全球认证讲师
    美国Insignia精准矫治全球认证讲师
    时代天使隐形矫治认证讲师
    丽绮美数字化颜面管理认证医师

  • 林茂青 主治医师

    暨南大学穗华口腔白云梅花园院区正畸科医师
    美国隐适美隐形矫治认证医师
    时代天使隐形矫治认证医师

  • 张涛 副主任医师

    暨南大学穗华口腔番禺万博院区院长
    中华口腔医学会口腔正畸学专业委员会专科委员
    中华口腔医学会口腔颌面创伤及正颌专业委员
    美国隐适美隐形矫治全球认证黑钻医师
    美国SPARK精靓隐形矫治全球认证医师
    eBrace专利矫正认证医师
    暨南大学穗华口腔医院资深种植专家

  • 文夫 主治医师

    暨南大学穗华口腔天河院区正畸科隐形矫治技术主任
    中华口腔医学会会员
    中华口腔医学会正畸专业委员会专科会员
    广东省口腔医学会会员
    美国隐适美全球认证专家
    美国隐适美隐形矫治讲师
    时代天使高端隐形矫治指定授权医师
    时代天使高端隐形矫治培训专家
    第18届雅加达亚运会中国代表团口腔保障营专家
    暨南大学穗华口腔天河院区资深正畸专家
    丽绮美数字化颜面管理认证医师

  • 黄海霞 主治医师

    暨南大学穗华口腔海珠中大院区正畸科主任
    中华口腔医学会正畸专业委员会专科会员(COS)
    中华口腔医学会儿童口腔医学专业委员会专科会员
    中华口腔医学会口腔美学专业委员会专科会员
    卡瓦Ormco数字化产品中国区认证讲师
    美国隐适美隐形矫治认证医师
    时代天使隐形矫治认证医师、认证讲师
    时代天使儿童颜面管理认证医师
    eBrace个性化舌侧矫治认证医师
    美国spark精靓隐形矫治全球认证医师
    丽绮美数字化颜面管理认证医师

  • 谢晓聪 主治医师

    暨南大学穗华口腔荔湾院区资深正畸医师
    暨南大学穗华口腔荔湾院区修复医师
    时代天使隐形矫正认证医师
    毕业于广州医科大学

  • 田慧娟 主治医师

    暨南大学穗华口腔白云梅花园院区正畸科资深医师
    中华口腔医学会正畸专业委员会专科会员
    时代天使儿童颜面管理认证医师

  • 何小辉 主诊医师

    暨南大学穗华口腔荔湾中山八院区医疗副院长
    中华口腔医学会会员
    时代天使隐形矫治认证医师
    美国隐适美隐形矫治认证医师

  • 陈天宇 主治医师

    暨南大学穗华口腔医院黄埔院区综合科主任
    中山大学光华口腔医学院口腔修复学硕士
    中华口腔医学会口腔修复学学会会员

  • 甄亚辉 主诊医师

    暨南大学穗华口腔医院综合科医师

  • 刘敏义 主治医师

    暨南大学穗华口腔医院资深种植专家
    暨南大学穗华口腔医院资深修复专家
    中华口腔医学会会员
    美学修复专委会会员
    口腔修复专委会会员

  • 何豫 主治医师

    暨南大学穗华口腔黄埔院区综合科专家
    毕业于中山大学光华口腔医学院
    资深口腔全科医师、儿童口腔专科医师

  • 许玉琴 主治医师

    暨南大学穗华口腔海珠中大院区全科医师
    中华口腔医学会会员
    毕业于南华大学

  • 蔡礼钊 主治医师

    暨南大学穗华口腔医院综合科医师
    中华口腔医学会会员
    中华口腔修复专委会会员
    ICOI国际种植牙专科医师学会研究员

  • 朱灌华 主诊医师

    暨南大学穗华口腔医院综合科医师
    中华口腔医学会会员

  • 袁美娟 主治医师

    DSD微笑美学设计师
    中华口腔医学会会员
    广东省整形美容协会青年学术委员会委员
    暨南大学穗华口腔医院综合科资深医生

  • 丘佳玉 主治医师

    暨南大学穗华口腔医院资深美学修复医师
    暨南大学口腔医学硕士
    牙齿美容修复杰出青年医师

  • 广州穗华口腔医院(暨南大学穗华口腔医院)

    咨询热线:020-6226 6666

    备案号:粤ICP备15046903号-1

    广审号:粤(A)广(2022)第365号