牙齿矫正有什么方法?
有疑问?点击咨询专家 全国免费咨询电话 020-6226 6666
  随着社会的发展,牙齿矫正手术的方法越来越多了,给牙齿矫正的患者带来很多的选择,那么牙齿矫正有什么方法?这是很多患者经常问的一个问题,下文请穗华口腔医院专家为大家介绍一下。

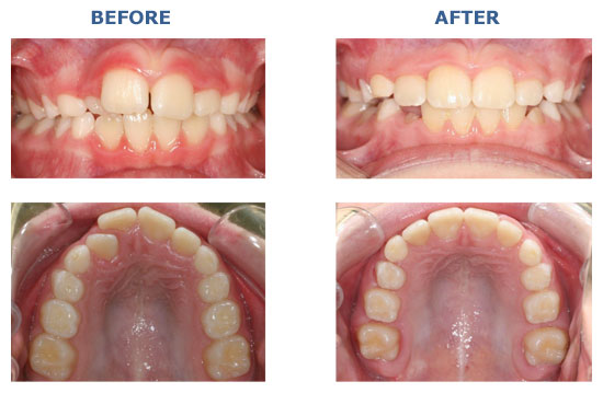
牙齿矫正效果》》》想矫牙?预约权威专家
 
  穗华口腔专家介绍:
 
  烤瓷牙
 
  烤瓷牙牙齿矫正技术它是先用合金制成金属基底,再在其表面覆盖与天然牙相似的低熔瓷粉,在真空高温烤瓷炉中烧结熔附而成,因而有金属的强度和烤瓷全冠的美观。它的特点是能恢复牙体的形态功能,抗折力强且颜色、外观逼真,表面光滑,耐磨性强不会变形,色泽稳定,成功的烤瓷修复体应当是形态逼真。
 
  牙套/箍牙
 
  牙套牙齿矫正技术,带牙套的原理是用一个像模具样的套子,固定牙齿矫正。通过逐渐增加压力,使牙齿排列整齐,过程比较长。带牙套的另一个作用是修补牙齿,将崩裂或纵裂的牙齿套上,再作适当的修补,使患齿恢复较正常的咀嚼功能。
 
  隐形矫正
 
  无托槽隐形牙齿矫正技术,传统牙颌畸形矫正器是在牙齿上粘结称为托槽的小铁片,将矫正弓丝结扎上去,使牙齿发生移动,达到矫正的目的。隐形透明正畸是3D立体电脑技术,量身定制一系列近乎无法察觉的透明牙托来完成整个矫正疗程。矫正时间需要1年半到两年左右。
 
  美容修复
 
  美容修复牙齿矫正技术是流行于欧美、日韩的一种新兴牙齿矫正技术,在传统烤瓷牙的基础上强调牙齿的美容效果,对错位牙、畸形牙的临床冠部分施以专业手段,后用美容修复加以修复,具有美牙不拔牙,无痛苦,时间短,牙齿坚固,多年后牙龈不会出现黑线等优点,从而达到终生有保障的美牙效果。
 
  穗华口腔是您爱牙的放心之选
 
  穗华口腔医院是拥有人文底蕴的暨南大学附属口腔医院临床教学医院,是广东省卫生厅批准成立的口腔专科医院,是集口腔诊疗、教学和科研为一体的现代化口腔综合医院,组建了由多位博士生导师和国内外知名专家构成的专业口腔专家队伍,承诺永远以顾客的牙齿健康为必要因素,确保给顾客高性价比的口腔治疗。
 
  温馨提醒:选择何种牙齿矫正方式需根据患者牙齿具体情况及其自身需求,并由专业正畸医师评估后方能确定正畸方案。选择专业的口腔和专业的医师,更加可以让您的牙齿矫正事半功倍。如果您还有什么问题或需要帮助,可在线咨询或拨打热线:020-62266666,将您的问题告诉在线医生,专家不仅能耐心为您分析解答,还能提供预约挂号的服务,让你就诊更方便快捷,“百度100遍,不如咨询一次”。

穗华口腔专家团队

>>more

  • 赖仁发 主任医师

    穗华口腔医院总院长
    暨南大学附属第一医院口腔医学中心主任导师
    国家教育部高等学校口腔医学专业教学指导委员会委员
    国家教育部医学教育题库(口腔医学)建设指导委员会委员

  • 冯智强 主任医师

    穗华口腔医院种植技术院长
    广东省口腔医师协会理事
    广东省医学教育协会口腔种植学专业委员会委员
    广东省整形美容口腔医学会委员
    广东省口腔颌面外科专业委员会委员
    广东省颞下颌关节病学及牙合学专业委员会委员
    广东省口腔医学会医院感染控制与管理专业委员会委员
    《实用医学杂志》审稿专家
    美国牙科新技术学院(AIIDE)中国区高级讲师
    2017年度广东省十大健康风尚人物

  • 鲍洪源 副主任医师

    穗华口腔海珠中大院区院长
    原中国航空364医院口腔科主任
    德国口腔颌面外科协会(MKG)种植硕士
    韩国Demtium种植牙系统千例种植认证医师
    北京大学种植中心访问专家
    湖北省种植专委会委员
    湖北省口腔全科专委委员
    中华口腔医学会种植专委会委员

  • 熊小明 副主任医师

    穗华口腔越秀院区院长
    中华口腔医学会会员
    全国口腔名家联盟成员
    广东省口腔种植学专业委员会委员
    德国(DGI)口腔种植协会会员
    美国口腔正畸学会(AAO)会员
    美国哥伦比亚大学口腔种植访问学者

  • 刘卫国 副主任医师

    穗华口腔东圃院区医疗院长
    穗华口腔医院资深种植专家
    中国大众文化学会口腔文化专委会常委
    中华口腔医学会会员
    中国医药卫生教育协会口腔医学分会委员
    ICOI国际种植学会会员
    广东省临床医学学会牙种植专委会委员
    广东省整形美容协会口腔整形美容分会委员
    湖北省口腔医学会种植专业委员会委员
    湖北民营口腔学会委员

  • 刘敏义 主治医师

    穗华口腔医院种植科资深种植医师
    中华口腔医学会会员
    暨南大学在读医学硕士研究生
    美学修复专委会会员
    口腔修复专委会会员

  • 刘志昕 主治医师

    穗华口腔医院种植技术院长
    穗华口腔5G+数字化精准种植技术组讲师
    国际种植牙医师学会(ICOI)会员
    北京大学口腔医学院进修医生
    上海交通大学附属第九人民医院种植科进修医生

  • 贺文鹏 副主任医师

    穗华口腔医院正颌中心主任
    穗华口腔医院资深种植专家
    暨南大学附属第一医院口腔外科主任
    暨南大学口腔医学院口外教研室副主任
    多家种植体品牌公司培训讲师
    德国口腔颌面外科协会-种植精英计划-种植硕士
    国家执业医师资深考官
    广州实力中青年医生
    暨南大学附属第一医院手术突出贡献奖获得者
    中华口腔医学会创伤与正颌专委会青年委员
    广东省医学会颌面头颈外科学分会青委副主任委员
    广东省医院协会口腔管理分会委员
    广东省临床医学学会牙种植专委会委员
    广东省口腔医学会口腔颌面外科专业委员会青年委员
    广东省整形美容协会口腔整形美容分会委员
    广东省粤港澳合作促进会医药卫生大健康委员会口腔健康联盟委员
    广东省医学教育协会口腔种植专业委员会委员
    广东省口腔医师协会理事

  • 孔卫东 主任医师

    穗华口腔医院副院长
    穗华口腔医院集团正畸医疗总监
    eBrace个性化舌侧矫治器主要发明人
    中华口腔医学会口腔正畸专业委员会5、6、7届委员
    《中华口腔正畸学杂志》编委
    广东省口腔医学会口腔正畸专业委员会常委
    《暨南大学学报(医学版)》特邀编委
    美国口腔正畸学会(AAO)会员
    世界正畸联盟(WFO)会员
    广东省3D打印技术联盟理事会理事
    广东省整形美容协会理事会理事
    省部级企业科技特派员
    入选2020年度《岭南名医录》
    被评为2021年度“羊城好医生”

  • 肖世芳 副主任医师

    穗华口腔荔湾院区医疗院长
    中国共产党广州穗华口腔门诊部有限公司支部委员会书记
    穗华口腔健康正畸讲师
    中华口腔医学会正畸专业委员会会员
    四川省口腔医学会正畸专业委员会委员
    暨南大学口腔医学院研究生实践指导教师
    美国隐适美隐形矫治全球认证医师
    美国SPARK精靓隐形矫治全球认证医师
    美国Insignia精准矫治全球认证医师
    时代天使隐形矫治认证医师
    医疗健康管理硕士

  • 谢晓聪 主治医师

    穗华口腔荔湾院区资深正畸医师
    穗华口腔荔湾院区修复医师
    时代天使隐形矫正认证医师
    毕业于广州医科大学

  • 田慧娟 主治医师

    穗华口腔白云梅花园院区正畸科资深医师
    中华口腔医学会正畸专业委员会专科会员
    时代天使儿童颜面管理认证医师

  • 张涛 副主任医师

    穗华口腔番禺万博院区院长
    中华口腔医学会口腔正畸学专业委员会专科委员
    中华口腔医学会口腔颌面创伤及正颌专业委员
    美国隐适美隐形矫治全球认证黑钻医师
    美国SPARK精靓隐形矫治全球认证医师
    eBrace专利矫正认证医师
    穗华口腔医院资深种植专家

  • 文夫 主治医师

    穗华口腔医院正畸科隐形矫治技术主任
    穗华口腔天河院区资深正畸医师
    中华口腔医学会会员
    中华口腔医学会正畸专业委员会专科会员
    广东省口腔医学会会员
    美国隐适美全球认证专家
    美国隐适美隐形矫治讲师
    时代天使高端隐形矫治指定授权医师
    时代天使高端隐形矫治培训专家
    第18届雅加达亚运会中国代表团口腔保障营专家
    丽绮美数字化颜面管理认证医师

  • 黄海霞 主治医师

    穗华口腔海珠中大院区正畸科主任
    中华口腔医学会正畸专业委员会专科会员(COS)
    中华口腔医学会儿童口腔医学专业委员会专科会员
    中华口腔医学会口腔美学专业委员会专科会员
    卡瓦Ormco数字化产品中国区认证讲师
    美国隐适美隐形矫治认证医师
    时代天使隐形矫治认证医师、认证讲师
    时代天使儿童颜面管理认证医师
    eBrace个性化舌侧矫治认证医师
    美国spark精靓隐形矫治全球认证医师
    丽绮美数字化颜面管理认证医师

  • 刘华 副主任医师

    穗华口腔医院白云梅花园院区医疗副院长
    湖北中医药大学副教授
    国家医疗卫生专家库专家

  • 谢晓聪 主治医师

    穗华口腔荔湾院区资深正畸医师
    穗华口腔荔湾院区修复医师
    时代天使隐形矫正认证医师
    毕业于广州医科大学

  • 陈波 主治医师

    穗华口腔医院综合科资深医师
    中华口腔医学会会员

  • 陈天宇 主治医师

    穗华口腔医院黄埔院区医疗副院长
    中山大学光华口腔医学院口腔修复学硕士
    中华口腔医学会口腔修复学学会会员

  • 甄亚辉 主诊医师

    穗华口腔医院综合科医师
    中华口腔医学会会员

  • 唐果 主治医师

    穗华口腔医院综合科医师
    中华口腔医学会会员

  • 刘华 副主任医师

    穗华口腔医院白云梅花园院区医疗副院长
    湖北中医药大学副教授
    国家医疗卫生专家库专家

  • 何豫 主治医师

    穗华口腔黄埔院区综合科专家
    毕业于中山大学光华口腔医学院
    资深口腔全科医师、儿童口腔专科医师

  • 赵丽雪 主诊医师

    穗华口腔医院综合科医师
    中华口腔医学会会员

  • 许玉琴 主治医师

    穗华口腔海珠中大院区全科医师
    中华口腔医学会会员
    毕业于南华大学

  • 穗华口腔医院

    咨询热线:020-6226 6666

    备案号:粤ICP备15046903号-1

    医疗广告审查证明文号:粤(A)广(2024)第255号