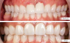
如何去除牙齿上的烟渍?

暨南大学穗华口腔专家指出,牙齿美白从本质上讲是一种清除牙齿珐琅质和牙釉...【详细】
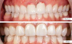
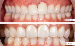
色素牙怎么解决?

暨南大学穗华口腔专家指出,色素牙是因饮食、烟茶咖啡等附着于牙齿表面,黄...【详细】
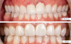
色素牙是怎样形成的?

暨南大学穗华口腔专家表示说,我们希望得到周围的人喜欢、尊重和有修养一样...【详细】
色素牙有哪些危害?

暨南大学穗华口腔专家介绍,色素牙是人们常见的一种牙病,其实色素牙的产生...【详细】
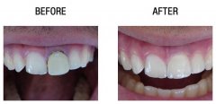
牙齿缺损如何修复?

人们常用唇红齿白形容长得健康漂亮,有一口洁白、整齐的牙齿,才能有灿烂的...【详细】
装个烤瓷牙要多少钱?

穗华口腔专家指出,对于贵金属烤瓷牙费用来说,因为其材料是采用金、银等贵...【详细】
“暨南大学白云山中一现代中药研究院”揭牌 研

12月11日下午,暨南大学与广州医药集团战略合作签约暨暨南大学白云山中一现...【详细】
假牙真的比种植牙省钱吗?

种植牙的出现,使得很多牙缺失患者齿落重生,重新享用美食和口腔健康。但是...【详细】
牙齿缺失有什么害处?

牙齿缺失损害我们的口腔健康和身体健康,牙齿缺失达到8颗以上的老年人看起...【详细】
种植牙有哪些适应症?

牙齿缺失的情况在生活中是非常常见的,意外的原因导致牙齿缺失,年纪增长导...【详细】
版权:广州穗华口腔医院
备案号:粤ICP备15046903号
医疗广告审查证明文号:粤(A)广(2024)第255号