戴矫治器期间能喝碳酸饮料吗?

我们都知道牙齿矫正期间得非常注意口腔的清洁和干净,尽量食用完后都清洁口...【详细】
有牙周病可以矫正牙齿吗?

许多成年人面临这牙齿畸形的困扰,同时又面临着口腔健康问题的困扰,那么有...【详细】
箍牙前要进行什么检查呢?

箍牙前的检查至关重要,是为了让医生了解牙齿不齐者的具体情况,包括牙齿的...【详细】
牙齿矫正时间越短越好吗?

牙齿矫正塑造我们一口健康美观的牙齿,让我们的魅力得以展示,人们都想花费...【详细】
矫牙后都要戴保持器吗?

牙齿矫正后,为了巩固牙齿矫正的效果,都要给牙齿戴上保持器,那么矫牙后都...【详细】
经济学院建院35周年暨“创新•创业”论坛举行

卅五年沧桑砥砺,薪火相连;卅五载栽桃培李,春华秋实。11月8日上午,由经济...【详细】
引进广州市政公交 南校区“如约巴士”专线开通

11月9日下午,广州市定制公交如约巴士启动仪式在暨南大学南校区教学楼前举行...【详细】
学子参加全国高等医学院校中医药创意设计

11月7日,在天津中医药大学举行的2015天堰挑战杯第五届全国高等医学院校中医...【详细】
苏国辉院士开讲:自强不息是人生的主旋律

11月5日,中国科学院院士、暨南大学粤港澳中枢再生神经研究院院长、香港大学...【详细】
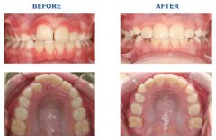
隐适美隐形矫正

美丽的笑容是我们形象的对外明信片,而笑容又离不开牙齿,所以拥有一口洁白...【详细】
版权:广州穗华口腔医院
备案号:粤ICP备15046903号
医疗广告审查证明文号:粤(A)广(2025)第1188号