牙齿矫正能改变脸型吗?

现代,人们对美的追求更高了,谈到牙齿矫正,有人会疑问牙齿矫正会改变脸型...【详细】
隐形矫正牙齿怎么样?

隐形矫正又叫隐形无托槽矫正,是现代牙齿矫正方式中非常有优势的一种,它没...【详细】
隐形矫正牙齿多少钱?

在现代隐形矫正牙齿的方法已经代替了以往了钢丝套牙了,隐形矫正牙齿隐形看...【详细】
(二)传承中华孝道美德 关注父母口腔健康

重阳节敬老爱老系列报道(二)之带着高位截瘫妈妈上大学 重阳佳节虽已过去...【详细】
传承中华孝道美德 关注父母口腔健康

暨南大学穗华口腔医院重阳节敬老爱老系列报道(一) 九九重阳节,浓浓敬老...【详细】
(五)传承中华孝道美德 关注父母口腔健康

重阳节敬老爱老系列报道(五)东莞第五届道德模范赖锡芬 南方电视台今日一...【详细】
(四)传承中华孝道美德 关注父母口腔健康

重阳节敬老爱老系列报道(四)之中国好媳妇魏红清 南方电视台今日一线联合...【详细】
(三)传承中华孝道美德 关注父母口腔健康

重阳节敬老爱老系列报道(三)东莞肾病孝子吴正新:妈妈以后我挣钱养你 南...【详细】
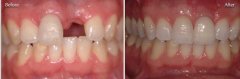
门牙掉了2颗怎么办?

门牙是关乎面部美观的问题,门牙掉了之后,不仅仅只是会影响到我们的美观,...【详细】
南校区“博雅大讲堂”正式开讲

10月29日,百年暨南大学文化素质教育讲堂第240期暨南校区博雅大讲堂第一讲正...【详细】
版权:广州穗华口腔医院
备案号:粤ICP备15046903号
医疗广告审查证明文号:粤(A)广(2025)第1188号