牙齿症状反映身体问题

牙齿症状能反映身体健康问题。广州穗华口腔专家近日指出,从牙齿的症状能反...【详细】
根管治疗是杀牙神经吗?

人们觉得根管治疗是杀神经,这样做对牙齿非常有害处,会缩短牙齿的寿命,因...【详细】
什么情况下可以做根管治疗?

根管治疗通过机械和化学方法去除根管内的大部分感染物,并通过充填根管、封...【详细】
第十二届广州大学生电影节在暨南大学开幕

9月26日,第十二届广州大学生电影节在暨南大学拉开帷幕。电影节由广州市委宣...【详细】
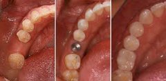
根管治疗是什么?

根管治疗是通过机械和化学方法去除根管内的大部 分感染物,并通过充填根管...【详细】
根管治疗需要注意的事项

根管治疗(root canal therapy)是牙髓病和根尖周病在国际上常用的有效治疗方法,以...【详细】
根管治疗 根治牙痛

根管治疗术是在国际上公认为治疗牙髓炎和根尖周病疗效非常好的方法,牙痛一...【详细】
广州专业口腔医院

口腔健康关乎身体健康,口腔问题势必影响到身体的健康,维护口腔健康,是维...【详细】
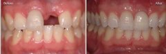
导致牙列拥挤的原因有哪些?

牙齿拥挤导致口腔清洁困难,容易造成食物嵌塞,形成龋齿、牙周病等,危害很...【详细】
后天哪些习惯会导致牙齿拥挤?

后天习惯对牙齿影响很大,不良的后天习惯会导致牙齿发育不良,那么哪些后天...【详细】
版权:广州穗华口腔医院
备案号:粤ICP备15046903号
医疗广告审查证明文号:粤(A)广(2025)第1188号