戴上牙齿矫正器要注意什么?

牙齿矫正通过戴牙齿矫正器来实现对牙齿的排列整齐,那么戴上牙齿矫正器要注...【详细】
隐形牙套要戴多久?

隐形牙套矫正具有传统牙套不能媲美的优点,很多人都选择隐形牙套来矫正牙齿...【详细】
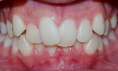
龅牙有什么影响?

龅牙这种牙齿畸形,对人的外貌和身体健康造成了影响,那么龅牙有什么影响?...【详细】
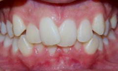
龅牙怎么治疗?

有了龅牙怎么办?这是龅牙患者们的心声,龅牙给他们的生活带来了很多不利影...【详细】
门牙缺了怎么办?

门牙位于牙齿的最前方,如果不小心摔掉了门牙,导致门牙缺失应该怎么办呢?...【详细】
美容修复和烤瓷牙的区别

穗华口腔数字修复中心专家介绍,美容修复是当今最流行的牙齿美容技术,与传...【详细】
做美容修复有什么副作用吗?

美容修复作为一种全新的牙齿修复方法,是传统烤瓷牙的突破,具有传统烤瓷牙...【详细】
我院成功举办中西医结合学会新医微创专业委员

8月22日,由广东省中西医结合学会新医微创专业委员会主办,广东省中西医结合...【详细】
赖仁发主任参到为百岁护理专家拔牙解决病痛

已满百岁的暨南大学附属第一医院原副院长兼护理部主任黄爱廉女士因牙齿不适...【详细】
什么是无托槽隐形矫正技术?

无托槽隐形矫正是近年来在国际上兴起的矫牙方式,在美观性、舒适性、便捷性...【详细】
版权:广州穗华口腔医院
备案号:粤ICP备15046903号
医疗广告审查证明文号:粤(A)广(2025)第1188号