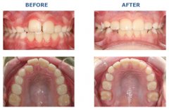
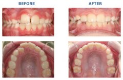
牙齿矫正会伤害牙齿吗?

为了使牙齿美观,很多人对会对牙齿进行矫正,对于牙齿矫正,不少朋友还是有...【详细】
什么年龄进行牙齿矫正好?

随着社会的发展,人们对牙齿的要求也越来越高,对于牙齿不整齐的人来说,进...【详细】
牙齿矫正期间会影响咀嚼吗?

越来越多的成年人也在寻求牙齿矫正治疗,以改善他们的笑容,改正牙齿咬合状...【详细】
哪些因素影响牙齿矫正价格?

一口好的牙齿可以增加自身的魅力,很多家长都想为自己的孩子矫正牙齿,因为...【详细】
做美容冠需要拔牙吗?

随着求美者对牙齿美观日益重视,牙齿美容也一直吸引着爱美人士的视线。美容...【详细】
拔牙真的可以无痛吗?

有些牙齿必须要拔除,拔牙是件多么恐怖的事情,对于怕痛的人来说是多么凄惨...【详细】
拔牙后要多久才能镶牙?

蛀牙什么的,在我们的日常生活中越来越常见了,好多了为此晚上牙疼的都手无...【详细】
孩子拔牙有哪些要注意的事项呢?

儿童时期的牙齿不被关注,长大后就会出现有很多牙齿问题,孩子是祖国的未来...【详细】
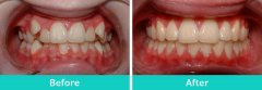
牙齿矫正需要拔牙吗?

牙齿长得不整齐,歪倒错乱,非常影响形象美观,影响人际交往,容易被人取笑...【详细】
牙齿矫正一定要拔牙吗?

牙齿长得不好、看起来排列不整齐,很容易被人取笑,而牙齿矫正可以让我们的...【详细】
版权:广州穗华口腔医院
备案号:粤ICP备15046903号
医疗广告审查证明文号:粤(A)广(2025)第1188号