借鉴美国本科教育经验,提高人才培养质量

12月10日下午,暨南学习论坛第38期暨干部培训专题辅导报告会在曾宪梓科学馆国...【详细】
用草莓如何美白牙齿吗?

尽管草莓与牙齿美白感觉毫不相关,但事实上它是一种美白牙齿的天然水果。草...【详细】
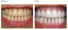
皓齿美白完好解决牙齿发黑

难看的黑牙会给我们交际生活带来很大的影响,如果有牙齿发黑的现象,应该及...【详细】
得了四环素牙怎么办?

四环素牙是一种严重的牙齿疾病,让人们的牙齿看起来显得非常的难看,导致很...【详细】
如何预防儿童牙齿着色?

牙齿颜色会随着年龄的变化而逐渐变黄,也与人们的饮食习惯相关。预防牙齿着...【详细】
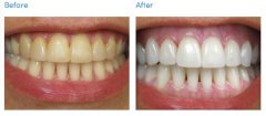
皓齿美白牙齿效果好不好?

如今生活水平不断提高,爱美者们也越来越重视牙齿方面的健康,一口黄澄澄的...【详细】
皓齿美白的适应症是什么?

近年来,很多朋友都会选择皓齿美白进行牙齿美白,它能够快速解决人们一口发...【详细】
暨南大学-罗德斯大学孔子学院理事会在举行

12月9日,南非罗德斯大学副校长彼得克雷顿教授(Prof. Peter Clayton)、孔子学院...【详细】
隐形矫正让你安心做爱笑佳人!

爱笑的女孩谁都喜爱,但是前提还得有一口整齐漂亮的牙齿!牙齿龅牙如凤姐,...【详细】
龅牙可以矫正吗?

龅牙是东方人种中较为常见的一类牙颌面畸形,龅牙常常表现为开唇露齿,自然...【详细】
版权:广州穗华口腔医院
备案号:粤ICP备15046903号
医疗广告审查证明文号:粤(A)广(2025)第1188号