牙齿矫正是现在非常受人追捧的美牙方式,但仍有不少人疑惑牙齿矫正有危害吗...
【详细】
   
   
    
    
    现代传扬着牙齿矫正的很多流言,听说矫正会松动牙齿,还一定要进行拔牙,而...
【详细】
   
   
    
    
    龅牙严重影响人的面部美观,龅牙怎么矫正?随着科技的发展,龅牙矫正方式也...
【详细】
   
   
    
    
    龅牙对人们的面部美观有着严重的影响,成人龅牙矫正的好方法是什么?随着科...
【详细】
   
   
    
    
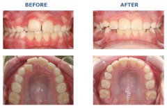
    通过矫正可以使一口参差不齐的牙齿变得整齐美观,然而不少人都担心牙齿矫正...
【详细】
   
   
    
    
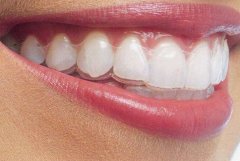
    由于牙齿矫正拥有着不易为人察觉,舒适美观,易清洁等众多优点,牙齿隐形矫...
【详细】
   
   
    
    
    随着人们对自身美的要求不断提高,矫正牙齿越来越受人关注。其中, 隐适美...
【详细】
   
   
    
    
    随着人们对自身美的要求不断提高,矫正牙齿越来越受人关注,很多牙齿畸形患...
【详细】
   
   
    
    
    地包天是一种对当事人来说却是非常大的苦恼,为了恢复自己的容貌,维持口腔...
【详细】
   
   
    
    
    龅牙,让人们往往没有了自信心,笑得也不欢快。为此,许多顾客选择了龅牙矫...
【详细】