牙齿矫正有什么注意事项?

随着人们对美的追求意识日益高涨,作为个人形象展示的一部分,也自然成为了...【详细】
牙齿矫正需要多少时间?

在现实生活中,牙齿不齐是一种常见的牙齿畸形现象。牙齿不齐,对个人的面容...【详细】
牙齿矫正全程要多长时间?

很多牙齿畸形患者都想进行牙齿矫正,但是又不想浪费太多时间,那么牙齿矫正...【详细】
矫正会影响讲话吗?

牙齿矫正已经被很多牙齿畸形患者所青睐,通过牙齿矫正重塑牙齿健康美观的形...【详细】
成人牙齿不齐做矫正需要多久?

牙齿畸形已经非常普遍,随着人们生活水平提高,对生活质量的要求也是随之越...【详细】
成人牙齿不齐做矫正需要多久?

牙齿牙齿畸形已经非常普遍,随着人们生活水平提高,对生活质量的要求也是随...【详细】
“百年讲堂”上演康梁师徒百年家国情

第十二届广东省优秀剧目一等奖获奖作品《康有为与梁启超》走进百年讲堂,来...【详细】
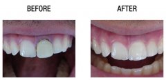
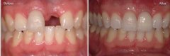
羊城首届种植牙案例分享会 看"过来人"的亲身

种植牙是缺牙患者最佳的首选修复方式,也是20世纪牙科领域最伟大的成就之一...【详细】
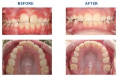
牙齿畸形是怎么产生的?

常见的错合畸形有:前牙后,俗称地包天;上颌、下颌以及双颌前突,俗称龅牙...【详细】
携手“一带一路”高水平大学 胡军校长率团访问

为落实国家一带一路发展战略,助力暨南大学高水平大学建设,11月23日至12月...【详细】
版权:广州穗华口腔医院
备案号:粤ICP备15046903号
医疗广告审查证明文号:粤(A)广(2025)第1188号