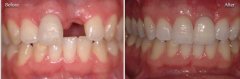
冷光美白的好处有哪些呢?

为了能够让自己拥有一口洁白牙齿,人们做冷光美白是不错的选择,这种方法的...【详细】
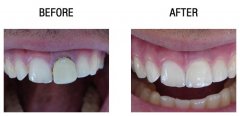
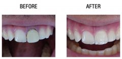
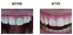
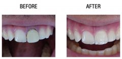
冷光美白效果如何?

拥有一口健康美白的牙齿,是人们所希望的。然而生活中的很多人由于经常的吸...【详细】
300余位会计专家暨南园研讨“会计硕士案例教学

11月30日至12月1日,由全国会计专业学位研究生(MPAcc)教育指导委员会主办、暨...【详细】
洗牙有哪些误区呢?

洗牙也称牙齿洁治,包括超声波洁牙、喷砂和抛光。医生用超声波洁治器震脱去...【详细】
洗牙有什么禁忌症吗?

洗牙是一种良好的牙齿保健手段,也是预防牙周病的重要措施。通过洗牙可以有...【详细】
洗牙对健康有什么好处呢?

洗牙能够帮助人们清洁牙齿上附着的菌斑、结石及沉积在牙齿表面的色素,这对...【详细】
广州洗牙要多少钱?

牙齿的健康也彰显着我们身体的健康,目前越来越多的人重视牙齿的健康,通过...【详细】
洁牙会导致牙齿松动吗?

随着人们健康意识的提高,牙齿保健也成为了越来越多人的关注点。不少人都会...【详细】
洗牙是怎么洗的?

洗牙,就是清洗牙齿,牙科行内话叫洁牙,既是清洁,也是治疗,预防。也就是...【详细】
2015海外文化社团中华才艺(书画)培训班结业

11月29日,由国务院侨办主办、暨南大学承办的2015海外文化社团中华才艺(书画...【详细】
版权:广州穗华口腔医院
备案号:粤ICP备15046903号
医疗广告审查证明文号:粤(A)广(2025)第1188号