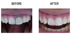
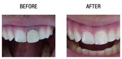
母亲节送孝心 从“齿”呵护母亲口腔健康

母亲节火爆了鲜花市场的康乃馨,热卖了护肤品、、服装和首饰,炒热了各种保...【详细】
Nobel诺贝尔种植技术中国研讨会将于我院隆重召开

2016年5月7日,Nobel诺贝尔种植技术中国研讨会? 广州站将于暨南大学穗华口腔医...【详细】
别样的青年节 从“齿”致青春

在属于青年的节日里,青春应该拥有宏大的礼赞。谁说长得好看才有青春?一口...【详细】
哈根达斯正畸沙龙百名矫正顾客成功签约暨南大

4月17日下午两点,腾讯大粤网携手暨南大学穗华口腔医院举办的2016 口腔文化节...【详细】
【今日热点】广州市民竟结队来穗华口

4月16日上午,由广州日报联合暨南大学穗华口腔医院举办名医大讲堂-《你选对...【详细】
好牙好口福 种植牙全民公益系列讲堂第003期开讲

对于大部分中老人而言,缺牙是常态,牙齿缺失不仅影响正常饮食,增加肠胃负...【详细】
腾讯大粤网2016口腔文化节矫正沙龙与您相约暨南

你是否还在忍受着龅牙妹、龅牙哥、牙擦苏的人生?你是否因为畸形牙问题而被...【详细】
广州日报名医大讲堂开讲啦!你选对种牙的好时

近年来,种植牙技术逐渐流行,但不少人谈到种植牙时,只想了解其价格、优点...【详细】
重磅聚焦 广州日报春茗读者茶话会百人见证缺牙

2016年3月19日上午8点30分,广州日报联合暨南大学穗华口腔医院举办 好牙叹早茶...【详细】
广州日报2016春茗读者茶话会 穗华邀你喝早茶

对于老广而言,喝早茶已然成为了老传统,然而年纪一大,十个中老年人中有八...【详细】
版权:广州穗华口腔医院
备案号:粤ICP备15046903号
医疗广告审查证明文号:粤(A)广(2025)第1188号