好牙叹早茶•中老年茶话会 穗华口腔医

6月14日,缺牙者福利再次来袭,暨南大学穗华口腔医院将于天河区黄埔大道西...【详细】
穗华口腔医院将举办全民公益系列种植

牙齿缺失给我们日常生活带来了诸多不便,因此不少缺牙者都在寻求牙齿缺失修...【详细】
穗华口腔医院“好牙好口福“种植牙全

2016年5月15日上午9:30,暨南大学穗华口腔医院举办好牙好口福种植牙全民公益...【详细】
穗华口腔医院·口腔文化节第4期之正畸

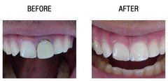
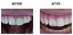
齿白七分俏,貌美牙为先一口整齐洁白的牙齿不仅是美丽的标志,还是自信的招...【详细】
全民公益系列种植牙讲堂第005场:好牙好口福

缺牙不但会影响外在美观、咀嚼功能,导致吐字不清等负面影响,还会对身体健...【详细】
2016两岸四地口腔种植交流论坛在粤召开

为推动中国口腔种植在国际前沿领域高水平的研究和交流,共促国内口腔种植事...【详细】
母亲节送孝心 从“齿”呵护母亲口腔健康

母亲节火爆了鲜花市场的康乃馨,热卖了护肤品、、服装和首饰,炒热了各种保...【详细】
Nobel诺贝尔种植技术中国研讨会将于我院隆重召开

2016年5月7日,Nobel诺贝尔种植技术中国研讨会? 广州站将于暨南大学穗华口腔医...【详细】
别样的青年节 从“齿”致青春

在属于青年的节日里,青春应该拥有宏大的礼赞。谁说长得好看才有青春?一口...【详细】
哈根达斯正畸沙龙百名矫正顾客成功签约暨南大

4月17日下午两点,腾讯大粤网携手暨南大学穗华口腔医院举办的2016 口腔文化节...【详细】
版权:广州穗华口腔医院
备案号:粤ICP备15046903号
医疗广告审查证明文号:粤(A)广(2025)第1188号